শিশুকে মৃত্যুর মুখ থেকে ফেরাল পিজি

Must read

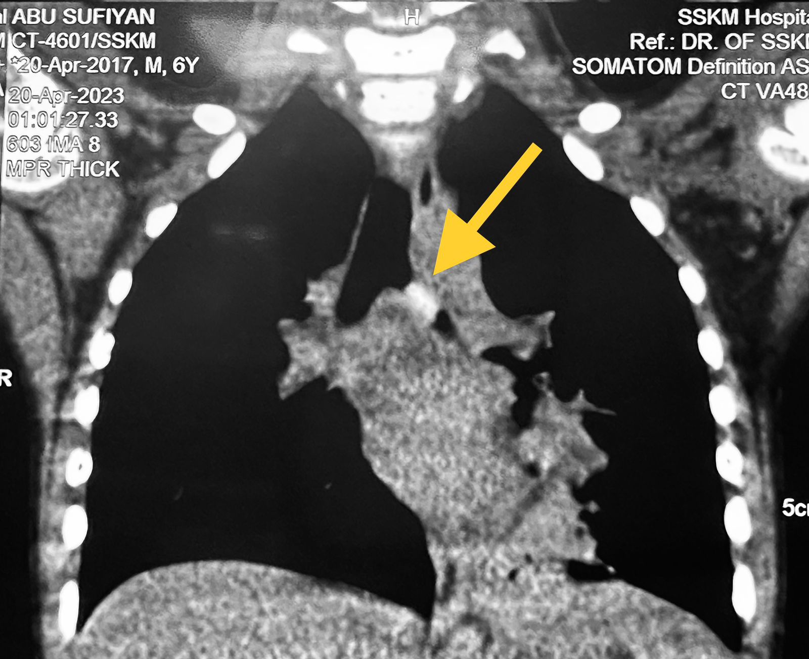
প্রতিবেদন : মৃত্যুর মুখ থেকে এক শিশুকে ফিরিয়ে আনল কলকাতা (Kolkata) এসএসকেএম (SSKM)। নাম আবু সুফিয়ান। বয়স মাত্র ছ’বছর। বাড়ি মুর্শিদাবাদের (Murshidabad) লালগোলার প্রত্যন্ত এলাকায় নতুন গ্রাম। ইংরেজি মাধ্যম স্কুলের প্রথম শ্রেণির ছাত্র। এবার জমিতে ভুট্টার ভাল ফলন হয়েছিল। বাবা গোলাম কিবরিয়া খেতের ভুট্টা ছাদে রোদে শুকাতে দিয়েছিল। ওই ভুট্টা নিয়ে খেলা করছিল আবু। আচমকা আড়াই সেন্টিমিটারের মতো ভুট্টাদানা শ্বাসনালি দিয়ে ফুসফুসে আটকে যায়। দমবন্ধ হওয়ার পরিস্থিতি তৈরি হয়। স্থানীয় নার্সিংহোম থেকে মুর্শিদাবাদ মেডিক্যাল কলেজে নিয়ে যাওয়া হলেও ফুসফুসে আটকে থাকা ভুট্টার দানা বের করা যায়নি। কিন্তু পরিস্থিতি খারাপ হতে থাকে। শ্বাসকষ্ট। সেই সঙ্গে রক্তবমি। এরপরেই বুধবার বিকেলে ভর্তি করানো হয় এসএসকেএমে। বৃহস্পতিবার সকালে জরুরি ভিত্তিতে অপারেশন হয়। ব্রঙ্কোস্কপির মাধ্যমে ফুসফুসে আটকে থাকা ওই ভুট্টার দানা বের করা আনা হয়। জটিল এই অস্ত্রোপচারটি চলে ইএনটির বিভাগীয় প্রধান ডাঃ অরুণাভ সেনগুপ্তের তত্ত্বাবধানে। অত্যন্ত সন্তর্পণে বের করে আনা হয় ভুট্টার দানা। আপাতত শিশুটি সুস্থ। শিশুর বাবা পেশায় কেবল অপারেটর। গুলাম কিবরিয়া বলেন, পিজির (SSKM) ডাক্তারা আমার ছেলের জীবন ফিরিয়ে দিলেন। ভাবিনি ও মৃত্যুর মুখ থেকে শেষ পর্যন্ত ফিরে আসবে।

আরও পড়ুন- করোনা নিয়ে সতর্ক স্বাস্থ্য দফতর

Latest article